编者按:本期“例精图治”,浙江大学医学院附属第一医院的朱侃恺教授为我们介绍了一例初诊Ⅳ期胃癌伴有肝转移和多种并发症患者的病例。该患者入院时情况较差,经MDT讨论后进行了3周期FOLFOX方案化疗,患者消化道症状改善,但临床影像学评效为PD。后行IHC检测发现其HER2过表达,遂给予FOLFOX+T(赫赛汀)方案进行治疗,达到PR后行手术治疗,术后仍旧给予原方案进行辅助治疗,最终患者取得了28个月的OS。本期病例提示,明确患者疾病后应早期检测其HER2状态,可使患者得到更为针对性的治疗,使患者生存期更长。
病例介绍
患者初诊信息:
患者, 女,62岁;2011年因“反复上腹隐痛,恶心呕吐黑便”入院。
相关检查:
-
查体:贫血貌、上腹轻压痛、移动性浊音(-)、震水音(-)
-
化验:大便OB:++、Hb:92.8g/L
-
肿瘤标志物:CEA:14.2ug/L、CA199≥12000 U/mL
-
胃镜提示:十二指肠球部溃疡(2.5cm)伴有不全性梗阻,幽门增生病灶待查
-
病理诊断:幽门粘膜慢性炎症伴重度异形增生癌变。
-
免疫组化:p53(-);ki67(+50%)
影像学表现:


临床分期:cT4bN1M1,cStageⅣ
诊疗过程:
针对该患者目前的病情,我们该采取何种治疗手段?手术加辅助治疗?化疗?最佳支持治疗?

经过MDT讨论选择了行FOLFOX化疗方案,同时予以抑酸、止血以及肠内营养支持,暂时不考虑手术。
经3周期FOLFOX化疗后:
患者症状改善,进食完全正常,无恶心呕吐。
大便常规:隐血强阳性转为阴性;
血常规:Hb:9~10g/L;
肿瘤标志物:CEA:20ug/L;CA199无变化。
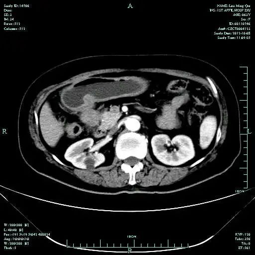
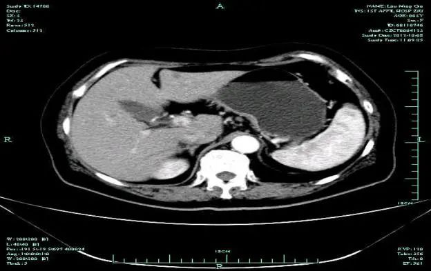
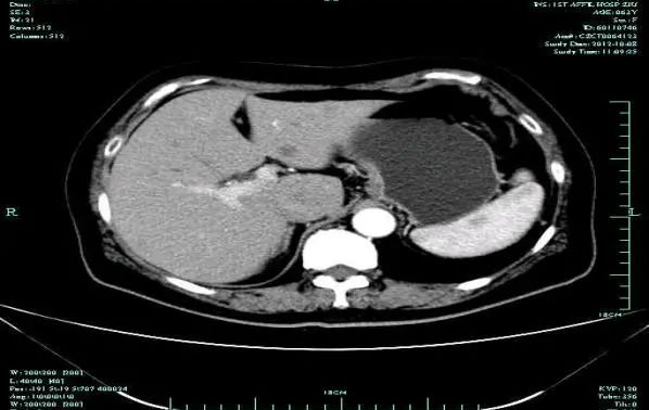
CT-T
CT-H1
MR-H1
影像学检查结果评估:cPD。
当时,我国SFDA批准赫塞汀的适应症是联合5-FU或卡培他滨和顺泊用于既往未接受针对转移性疾病治疗的HER2过度表达的转移性胃腺癌或胃食管结合部癌(2012-08)。

ToGA试验的结果揭开了胃癌靶向治疗的序幕,HER2阳性晚期胃癌患者经曲妥珠单抗联合化疗治疗,OS延长至16个月。
基于ToGA研究结果、以及我国曲妥珠单抗胃癌适应症获批,进行下一步治疗:外院胃镜切片标本再会诊:HER2 IHC +++
疗效评估:cPR
下一步治疗策略评估:维持化疗+靶向?手术时机?


经院内MDT讨论后:2013.6.13 行“肝转移灶切除+右半结肠切除+胰十二指肠切除+Child重建”
术后病理:(胃窦部)溃疡型中低分化腺癌伴淋巴结转移性癌,侵犯十二指肠及胰腺;(肝)腺癌浸润或转移,符合胃肠道来源
TNM分期:pT4bN1M1(Ⅳ期) HER2 IHC +++


该病例中的女性患者,确诊时已出现肝转移。对于胃癌肝转移的治疗,系统综述研究结果显示:原发灶和肝转移灶均能完全切除的胃癌患者可明显改善预后。经MDT讨论后,该患者暂无最佳手术机会,选择FOLFOX化疗方案。
TOGA研究是第一个使用HER2抑制剂曲妥珠单抗治疗不能手术的局部晚期、复发或转移的HER2阳性胃癌患者的Ⅲ期临床研究。TOGA研究结果显示,IHC2+/FISH阳性或者IHC3+的患者与对照组相比,OS分别为16.0个月和11.8个月(HR为0.65)。曲妥珠单抗联合化疗显著提高了HER2阳性晚期转移性胃癌的治疗缓解率和总体生存率。2012年8月,曲妥珠单抗治疗HER2阳性转移性胃癌适应症在我国获批。对该患者进行病理切片会诊,幸运的是其HER2检测为阳性。随即进行靶向联合化疗治疗,三个周期后,肝转移灶消失,曲妥珠单抗治疗效果显著。九个周期的靶向治疗联合放化疗后,疗效评估cPR,随即行手术治疗。
国内胃癌诊治规范和指南以及HER2检测指南提出,包括内镜和手术标本;原发和复发病灶标本,初次和多次检测在内的所有胃癌标本均需明确HER2状态,可以说HER2的检测已成为胃癌诊治中必不可少的环节。
MDT的诊疗模式可以提高胃癌的诊疗治疗,改善患者预后。该病例也是在MDT诊疗模式下,通过各学科专家协作,经讨论后做出准确分期、个体化、精准的全程诊疗方案对于病人获得满意的生存期是有益的。MDT诊疗在胃癌临床诊疗中发挥重要作用。
医学硕士 副主任医师
浙江大学医学院附属第一医院胃肠外科
英国皇家自由医院访问学者
浙江大学医学院附属第一医院胃肠外科主任医师 医学博士
中国医师协会外科医师分会上消化道外科医师委员会委员
浙江省抗癌协会胃肠道间质瘤专业委员会副主任委员
浙江省抗癌协会胃癌专业委员会委员