当前位置:肿瘤瞭望>资讯>访谈>正文

新“淋”视角丨朱军、邓丽娟教授专访:BTK抑制剂出血风险的综合管理

作者:肿瘤瞭望   日期:2021/3/15 11:17:56  浏览量:15544

肿瘤瞭望版权所有,谢绝任何形式转载,侵犯版权者必予法律追究。

编者按:近年来,靶向药物以及小分子药物的飞速进展使得抗肿瘤治疗、尤其是淋巴瘤治疗进入了新的时代。其中,BTK抑制剂的上市极大改变了B细胞淋巴瘤的治疗现状,具有划时代意义。随着临床使用经验的不断累积,进一步提高传统治疗的疗效和安全性,已成为精准靶向治疗时代的突出需求。为此,【肿瘤瞭望】特开辟《新“淋”视角》特别栏目,邀请来自全国血液科和肿瘤科的多位专家进行系列访谈。

本期我们特别采访了北京大学肿瘤医院的朱军教授和邓丽娟教授,就BTK抑制剂的靶点选择、治疗相关出血的发生机制、出血事件的管理及临床应用等方面进行了详细介绍和阐述。

《肿瘤瞭望》:近年来,BTK 抑制剂在淋巴瘤领域取得了非常好的治疗效果。出血是 BTK 抑制剂关注的不良反应之一,您能向我们介绍一下,哪些高危因素会导致 B 细胞淋巴瘤患者应用 BTK 抑制剂过程中出血风险升高?


邓丽娟教授:B细胞淋巴瘤患者应用 BTK 抑制剂的出血风险主要与患者基础疾病状态,肿瘤疾病,以及BTK抑制剂药物特点等三方面因素有关。患者基础疾病方面包括年龄、出凝血疾病、心血管疾病及深静脉血栓病史、凝血功能、血小板数量及功能、是否使用其他抗血小板或抗凝药物等;肿瘤因素也和出血风险有关;最后,由于不同 BTK 抑制剂的激酶选择性不同,药物治疗相关的出血风险也可能不同[1]。总体来说,患者治疗前血小板功能受损、同时服用抗凝抗血小板药物时,其治疗相关的出血风险可能增加[2]


《肿瘤瞭望》:传统BTK抑制剂治疗B细胞淋巴瘤中的出血不良事件发生率约为多少?BTK抑制剂导致出血的相关机制有哪些?

 

邓丽娟教授:1)首先在出血发生率方面,多项临床研究和真实世界数据结果显示,服用一代BTK抑制剂伊布替尼治疗的患者≤2级的轻微出血事件发生率较高,大约见于2/3的患者,主要是皮肤挫伤、出血点、轻微鼻出血以及无症状血尿等[3];而≥3级、需要输血及住院治疗的严重出血事件,发生率大约为2%~9%,致命性大出血发生率通常<1%[4-7]


最近一项纳入15项研究共1768例患者的荟萃分析[2]显示,伊布替尼治疗的患者发生严重出血的风险为4.4%,高于对照组的2.8%。但是随着治疗时间的延长,伊布替尼组和对照组出血风险差别不大,均为3%左右,且两组出血发生率无统计学差异[2]。这提示,出血风险的增高主要发生于BTK抑制剂治疗的早期,尤其是治疗前半年。


2)出血机制方面,BTK抑制剂引起出血风险增加的机制比较复杂,与其靶点抑制和脱靶效应均可能有关,而且至今尚未完全阐明。目前认为主要和血小板功能受损有关[8]。BTK抑制剂的靶点是BTK,而选择性较低的BTK抑制剂对其它激酶包括TEC等也有抑制作用[9]。BTK和TEC都是血小板跨膜受体的下游信号分子,而这些血小板跨膜受体和血小板活化及血栓稳定性密切相关[10]。BTK无功能活性的血小板(即来自XLA患者或BTK KO小鼠)的胶原反应降低,但在高胶原浓度下几乎正常[10-11]。有研究显示,BTK/TEC双敲除小鼠的血小板对胶原受体血小板胶原受体糖蛋白VI(GPVI)的刺激完全没有反应;即使在高浓度下,对胶原的聚集反应也强烈减弱,因此认为TEC能够补偿血小板中BTK缺失的功能[12]。这些结果表明,伊布替尼对BTK和TEC的双重抑制会导致血小板的聚集功能受损[13-14]。 

 

奥布替尼由于结构更加优化,减少了 H-键位点、对疏水基团与共价受体部位的相互空间位置进行了微调,消除药物分子的手性中心,既保证了药物与 BTK 的紧密结合,又避免对其它激酶如 TEC 等的抑制。因此患者出血风险降低。


2020 年ASH上报道了一项针对 5 项纳入奥布替尼单药治疗B细胞淋巴瘤(共 266 例)的安全性汇总分析,其结果显示,中位随访 11 个月,≥3级出血事件发生率仅约1.5%(4/266)。基于目前的数据,奥布替尼的安全性是值得肯定的[15]


《肿瘤瞭望》:BTK 抑制剂在淋巴瘤领域取得了非常瞩目的疗效,已经成为多种类型 B 细胞淋巴瘤的治疗选择。那么,在 BTK 抑制剂使用过程中,如何预防和管理出血事件呢?


邓丽娟教授:在预防出血方面,主要有以下三方面的注意事项:


1)首先是医生和患者均需要对BTK抑制剂相关的出血风险有充分认识。在使用BTK抑制剂治疗之前,需要对患者相关病史,出血风险等进行评估。对于已经存在严重出血的患者,不建议BTK抑制剂治疗。接受BTK抑制剂治疗的患者应避免剧烈活动、减少外伤可能。同时服药过程中,医患应共同注意观察有无出血相关征象,症状和体征。


2)第二个方面是抗凝和抗血小板药物管理


对于接受BTK抑制剂治疗的患者,应尽可能避免抗凝和抗血小板治疗。对于需要短期抗凝的深静脉血栓患者,如果可行,建议尽量推迟 BTK 抑制剂治疗,先使用替代药物。如果需要在应用BTK 抑制剂的同时加用抗凝治疗,则应严禁使用维生素K拮抗剂如华法林,可考虑选择低剂量的FXa因子抑制剂如艾比沙班,或凝血酶间接抑制剂依诺肝素[16]。在抗血小板药物方面,尽量避免服用非甾体类抗炎药、鱼油、维生素 E、阿司匹林等具有抗血小板作用的药物。心血管病低-中危患者建议停用阿司匹林。高危患者可同时应用小剂量阿司匹林。需要紧急抗凝或双联抗血小板治疗患者应暂缓BTK 抑制剂治疗[17]。 


3)第三个方面是围手术期管理


目前建议,尽量在开始BTK抑制剂应用前完成必要的创伤性操作。对于已经开始BTK抑制剂治疗的患者,如手术操作不可避免时,应该分别在小手术和大型手术前后分别停药3或7天。同时在围手术期,临床医生应密切观察出血风险[17]


在管理出血事件方面,相关建议如下:


对于BTK抑制剂治疗期间发生的出血,则应根据出血的严重程度进行不同的处理。首先,对于皮肤出血点,瘀斑,无症状血尿等轻微出血,由于程度轻,无明显症状,且和严重出血风险并无相关性,因此不需要停止BTK抑制剂治疗,只需密切观察即可;其它轻度出血,一般暂停BTK抑制剂治疗后2-3天出血会较快缓解,待出血好转后恢复用药。对于严重出血,如≥3级的出血事件或任何级别的颅内出血,都应立即停用BTK抑制剂应用;同时无论血小板计数多少,都应该尽快输注血小板,同时加强相应的止血治疗[1,17]


《肿瘤瞭望》:北京大学肿瘤医院淋巴瘤科有非常丰富的 BTK 抑制剂应用经验,邓教授能跟我们分享一下奥布替尼治疗淋巴瘤的相关使用体会和经验吗?


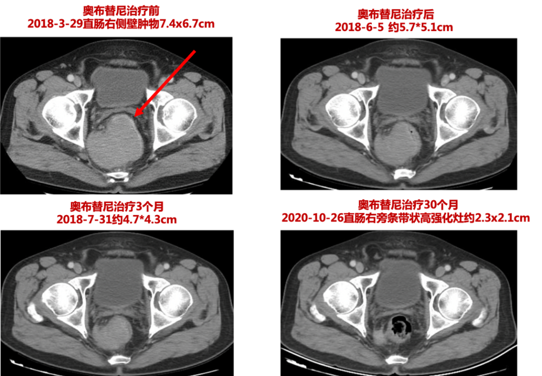
邓丽娟教授:在我科应用奥布替尼治疗的患者中,有一位患者令我印象深刻。患者是一位67岁的老年男性的套细胞淋巴瘤患者。患者2015 年在我科接受了R-CHOP/R-Ara-C交替方案化疗共6周期,6周期后评效为 CR,因年龄原因未行ASCT巩固,也未行利妥昔单抗维持治疗,治疗结束后定期复查无异常。2017年10月患者新出现便中带血,复查肠镜及 PET-CT显示淋巴瘤复发,直肠肿物约7cm*8cm,伴盆腔淋巴结受累,当时血红蛋白120g/L,为轻度贫血。患者疾病复发后顺利入组 ICP-022,即奥布替尼治疗复发难治套细胞淋巴瘤的临床试验, 入组前诊断为:非霍奇金淋巴瘤复发,II期A,套细胞淋巴瘤,侵及直肠,侵及直肠周围及盆腔多发淋巴结;消化道出血;HBV既往感染。患者于2018-4-12 起开始接受奥布替尼 150mg qd治疗,服药1周后便血完全缓解。定期监测患者血常规,血红蛋白恢复至140g/L。服药 3个月时,影像学检查提示患者直肠肿物明显缩小(图1)。


至今该患者已服药2年7月,直肠肿物仅约2cm,疾病维持 PR(图1)。服药期间,患者仅发生一过性WBC 减低1级,ALT 升高 1 级,均自行恢复正常。用药过程中,我们监测患者的 HBV-DNA 均正常。无其它AE发生。这例患者的治疗过程提示,奥布替尼的有效性、安全性和耐受性都非常好。


图1.奥布替尼临床应用病例分享——直肠病灶CT变化


点评总结

?

朱军教授:我们知道,目前淋巴瘤的诊断治疗遇到了一个很好的时代。也可以说,淋巴瘤的诊断和治疗进入了一个精准、靶向和免疫治疗时代。其中,BTK抑制剂作为独特的对B淋巴细胞信号调节通路的关键调控点,在B细胞淋巴瘤中的治疗中发挥了重要作用。作为全球第一个上市的BTK抑制剂,伊布替尼的上市和使用极大改变了 B 细胞淋巴瘤的治疗现状,具有划时代的意义。但随着临床使用经验的不断累积,我们也逐渐发现了该药的一些不足之处,例如使用中出现的毒副反应等,这与伊布替尼的治疗靶点的选择有关。当然,这也带动了BTK抑制剂使用领域的整体发展。


除伊布替尼以外,我们国内现在也有新型BTK抑制剂上市,如泽布替尼、奥布替尼等。在奥布替尼的上市过程中,作为前期临床研究的参与者和主要负责人,我们在使用奥布替尼的过程中,发现该药独特的疗效和安全性。疗效方面,奥布替尼有明显的改善和提高;安全性方面,新型 BTK 抑制剂奥布替尼在心脏毒性和出血事件中,奥布替尼都有非常优秀的表现。进一步研究发现,奥布替尼的高安全性来自于其结构的特点:奥布替尼能够更加精准的抑制BTK,而对其他靶点的抑制作用非常小,因此相应的毒副反应要明显减少。多项临床试验、包括去年ASH上的多项临床试验数据以及奥布替尼上市后的临床实践均显示,奥布替尼疗效确切、并且安全性较传统BTK抑制剂有所提高和改善。因此上市后,我们期望能够在真实世界中进一步发现奥布替尼的优点,观察其不良反应。随着临床使用的扩展,我们希望能够进一步挖掘奥布替尼的安全性,尤其在联合用药方面的安全性,从而进一步加深我们对该药的认识,为中国以及世界范围内的淋巴瘤患者提供新的治疗选择。我们希望有更好的药物为临床服务、为患者提供治疗选择,我们对奥布替尼充满期待。


 

专家简历

朱军教授

北京大学肿瘤医院党委书记,大内科主任,淋巴瘤科主任

中国临床肿瘤学会(CSCO)理事会常务理事

北京市希思科临床肿瘤研究基金会副理事长

中国抗淋巴瘤联盟主任委员

北京抗癌协会副理事长

北京癌症康复会会长

中华医学会肿瘤分会常务委员

国家卫生健康委能力建设和继续教育肿瘤学专家委员会委员血液肿瘤组组长

 

专家简历

 

 

邓丽娟教授

医学博士,北京大学肿瘤医院淋巴瘤科副主任医师,副教授。先后毕业于华中科技大学同济医学院和北京大学医学部。2014年至2015年在美国MD Anderson癌症中心进修一年。北京抗癌协会青年理事会理事。承担国家自然科学基金,北京市自然科学基金,以及北京市医管局培育计划等多项课题,发表第一作者及共同作者SCI论文十余篇。


参考文献

(上下滑动可查看)
[1] Boriani G, Corradini P, Cuneo A, Falanga A, Foà R, Gaidano G et al. Practical management of ibrutinib in the real life: Focus on atrial fibrillation and bleeding. Hematol Oncol. 2018 Oct;36(4):624-632. doi: 10.1002/hon.2503. Epub 2018 Mar 7. PMID: 29512173.
[2] Brown JR, Moslehi J, Ewer MS, O’Brien SM, Ghia P et al. Incidence of and risk factors for major haemorrhage in patients treated with ibrutinib: An integrated analysis. Br J Haematol. 2019 Feb;184(4):558-569. doi: 10.1111/bjh.15690. Epub 2018 Dec 2. PMID: 30506764.
[3] Wang ML, Blum KA, Martin P, Goy A, Auer R, et al. Long-term follow-up of MCL patients treated with single-agent ibrutinib: updated safety and efficacy results. Blood 2015; 126: 739–45. 10.1182/blood-2015-03-635326.
[4] J.C. Byrd, J.R. Brown, S. O’Brien, J.C. Barrientos et al. Ibrutinib versus Ofatumumab in Previously Treated Chronic Lymphoid Leukemia. N Engl J Med 2014;371:213-23. DOI: 10.1056/NEJMoa1400376. 
[5] Chanan-Khan A, Cramer P, Demirkan F et al. Ibrutinib combined with bendamustine and rituximab compared with placebo, bendamustine, and rituximab for previously treated chronic lymphocytic leukaemia or small lymphocytic lymphoma (HELIOS): a randomised, double-blind, phase 3 study. The Lancet Oncology 2016; 17: 200–11. 10.1016/S1470-2045(15)00465-9.
[6] Burger JA, Tedeschi A, Barr PM, Robak T et al. Ibrutinib as Initial Therapy for Patients with Chronic Lymphocytic Leukemia. New England Journal of Medicine 2015; 373: 2425–37. 10.1056/NEJMoa1509388.
[7] Byrd JC, Furman RR, Coutre SE, Burger JA et al. Three-year follow-up of treatment-naive and previously treated patients with CLL and SLL receiving single- agent ibrutinib. Blood 2015; 125: 2497–506. 10.1182/blood-2014-10-606038.
[8] Joseph J. Shatzel, Sven R. Olson, Derrick L. Tao, BS1, Owen J. T. McCarty et al, Ibrutinib-associated bleeding; pathogenesis, management, and risk reduction strategies. J Thromb Haemost. 2017 May ; 15(5): 835–847. doi:10.1111/jth.13651.
[9] Lee A Honigberg , Ashley M Smith, Mint Sirisawad, Erik Verner, David Loury et al, The Bruton tyrosine kinase inhibitor PCI-32765 blocks B-cell activation and is efficacious in models of autoimmune disease and B-cell malignancy. Proceedings of the National Academy of Sciences 2010; 107: 13075–80. 10.1073/pnas.1004594107.
[10] Quek LS, Bolen J, Watson SP. A role for Bruton’s tyrosine kinase (Btk) in platelet activation by collagen. Curr Biol. 1998 Oct 8;8(20):1137-40. doi: 10.1016/s0960-9822(98)70471-3. PMID: 9778529.
[11] Atkinson BT, Ellmeier W, Watson SP. Tec regulates platelet activation by GPVI in the absence of Btk. Blood. 2003 Nov 15;102(10):3592-9. doi: 10.1182/blood-2003-04-1142. Epub 2003 Jul 3. PMID: 12842985.
[12] Rigg RA, Aslan JE, Healy LD, Wallisch M, Thierheimer ML, Loren CP, Pang J, Hinds MT, Gruber A, McCarty OJ. Oral administration of Bruton’s tyrosine kinase inhibitors impairs GPVI-mediated platelet function. Am J Physiol Cell Physiol. 2016 Mar 1;310(5):C373-80. doi: 10.1152/ajpcell.00325.2015. Epub 2015 Dec 9. PMID: 26659727; PMCID: PMC4971826.
[13] Levade M, David E, Garcia C, Laurent P-A, Cadot S, Michallet A-S, Bordet J-C, Tam C, Sie? P, Ysebaert L, Payrastre B. Ibrutinib treatment affects collagen and von Willebrand factor-dependent platelet functions. Blood 2014; 124: 3991–5. 10.1182/blood-2014-06-583294.
[14] S Kamel, L Horton, L Ysebaert, M Levade, K Burbury, S Tan et al, Ibrutinib inhibits collagen-mediated but not ADP-mediated platelet aggregation. Leukemia 2015; 29: 783–7.10.1038/leu.2014.247.
[15] Yuqin Song, Wei Xu, Yongping Song , Lihong Liu , Song Lin, Zhiming Li et al, Pooled Analysis of Safety Data from Clinical Trials of Orelabrutinib Monotherapy in Hematologic Malignancies. 62nd ASH Oral Abstracts #1140.
[16] Stephens DM, Byrd JC. How I manage ibrutinib intolerance and complications in patients with chronic lymphocytic leukemia. Blood. 2019 Mar 21;133(12):1298-1307. doi: 10.1182/blood-2018-11-846808. Epub 2019 Jan 14. PMID: 30642919; PMCID: PMC6428663.
[17] Lipsky A, Lamanna N. Managing toxicities of Bruton tyrosine kinase inhibitors. Hematology Am Soc Hematol Educ Program. 2020 Dec 4;2020(1):336-345. doi: 10.1182/hematology.2020000118. PMID: 33275698; PMCID: PMC7727553. 

 

本内容仅供医学专业人士参考


BTK抑制剂

分享到: 更多