当前位置:肿瘤瞭望>资讯>研究>正文

病例精粹丨赵兵教授:绝经前激素受体阳性患者全程卵巢功能抑制的诊疗思考

作者:肿瘤瞭望   日期:2021/11/26 10:44:08  浏览量:17435

肿瘤瞭望版权所有,谢绝任何形式转载,侵犯版权者必予法律追究。

相较于西方国家,我国乳腺癌的发病年龄较小,年轻乳腺癌患者基数较大。在年轻乳腺癌人群中50%~60%为激素受体阳性,辅助内分泌治疗成为该类患者一个非常重要的手段,尤其针对合并临床危险因素年轻患者的强化治疗,已有的研究指出,促性腺激素类似物(GnRHa)联合内分泌治疗可以使HR阳性年轻乳腺癌患者获益[1],也是目前指南共识及临床实践中经常讨论的话题[2]。对于临床高危的患者,基于SOFT&TEXT联合分析[3],结果显示OFS+AI较OFS+TAM,绝对DFS改善了4%,复发风险相对降低23%,因此,OFS+AI是临床上常用的选择。对于中危的患者,选用TAM还是选用AI联合OFS,应该综合考虑。本文中,新疆医科大学附属肿瘤医院赵兵教授将分享一例绝经前HR+/HER2-乳腺癌患者全程使用卵巢功能抑制剂联合化疗或内分泌治疗,并获得了长期无进展生存时间的病例。

编者按:相较于西方国家,我国乳腺癌的发病年龄较小,年轻乳腺癌患者基数较大。在年轻乳腺癌人群中50%~60%为激素受体阳性,辅助内分泌治疗成为该类患者一个非常重要的手段,尤其针对合并临床危险因素年轻患者的强化治疗,已有的研究指出,促性腺激素类似物(GnRHa)联合内分泌治疗可以使HR阳性年轻乳腺癌患者获益[1],也是目前指南共识及临床实践中经常讨论的话题[2]。对于临床高危的患者,基于SOFT&TEXT联合分析[3],结果显示OFS+AI较OFS+TAM,绝对DFS改善了4%,复发风险相对降低23%,因此,OFS+AI是临床上常用的选择。对于中危的患者,选用TAM还是选用AI联合OFS,应该综合考虑。本文中,新疆医科大学附属肿瘤医院赵兵教授将分享一例绝经前HR+/HER2-乳腺癌患者全程使用卵巢功能抑制剂联合化疗或内分泌治疗,并获得了长期无进展生存时间的病例。

 
No.1 病例介绍
 
▌基本情况:
 
患者,绝经前女性,初诊年龄32岁,患者个人史、既往史、肿瘤家族史均无特殊。
 
▌病史介绍:
 
2011-04患者因“发现左乳肿块2月”就诊我院,在B超引导下行左乳肿物穿刺活检术,病理:浸润性导管癌,高分化,免疫组化:ER(+),PR(++),HER2(1+),Ki-67(30%),完善全身检查未见脏器转移征象,排除手术禁忌于2012-04-14行“左乳癌改良根治术”。
 
术后病理:浸润性导管癌,组织学Ⅱ级,肿瘤大小2.0×1.8×1.5cm ,腋窝淋巴结见癌转移(1/13),切缘阴性。
 
免疫组化:ER(+),PR(++),HER2(1+),Ki-67(40%)。
 
诊断:左乳浸润性导管,pT1N1M0 ⅡA期,LuminalB型。
 
▌辅助治疗:
 
2011-05至2011-08行FEC方案辅助化疗共6周期,术后2011-09行左侧胸壁及淋巴结引流区放疗50Gy/25f,同时戈舍瑞林3.6mg ih qm 联合他莫昔芬10mg po bid内分泌治疗,随后定期复查,5年后患者自行停药。
 
▌复发转移后的诊疗经过:
 
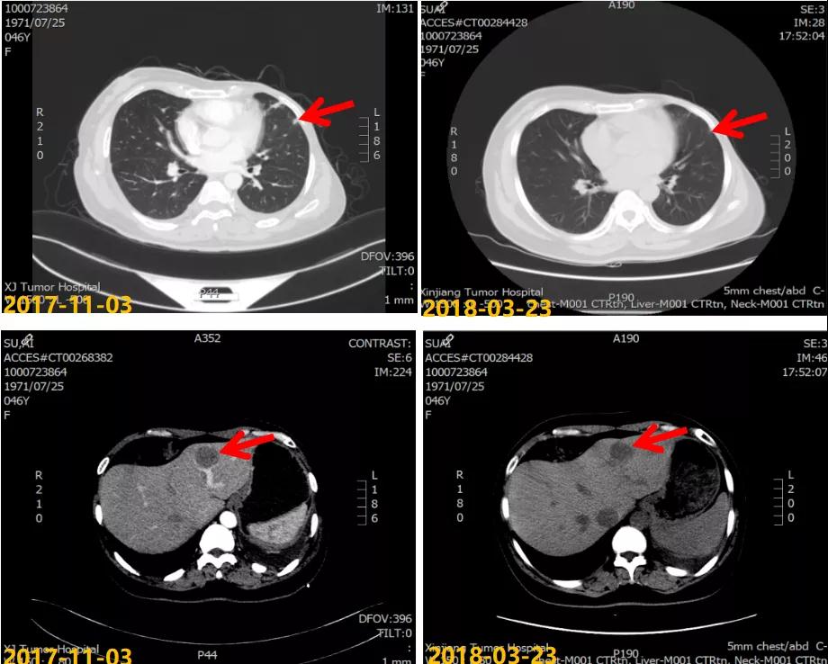
第一次病情进展: 2017-10-22患者因“气喘气憋、呼吸困难20天”就诊我院,胸水超声提示左侧大量胸腔积液,行胸水穿刺引流,查见癌细胞。2017-11-03 CT:两肺多发结节,考虑转移瘤;左侧胸膜斑块状增厚,提示胸膜转移;肝脏多发转移瘤。进一步行肝脏肿块穿刺活检,病理:ER(2+,90%),PR(3+,80%),HER2(2+),Ki-67(+,40%),FISH检测:未观测到基因扩增。
 
 
一线治疗:
 
2017-11至2018-03:TX方案6周期(多西他赛120mg d1+卡培他滨1500mg po bid d1-14),化疗期间继续戈舍瑞林3.6mg ih q4w。疗效评估:前四周期略缩小但未达PR,后两周期SD,呼吸道症状明显改善。2018-04行戈舍瑞林3.6mg ih q4w联合氟维司群 500mg im q4w内分泌维持治疗,同时经MDT多学科讨论后行肝脏射频消融术。一线治疗获得36个月PFS。
 
 
 

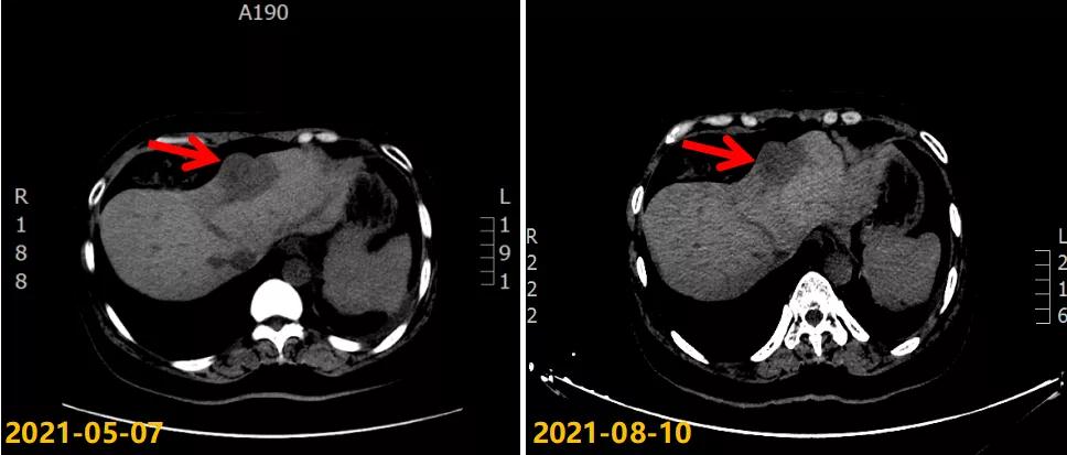
第二次病情进展:2021-05-07 CT示:左侧胸膜略增厚,同前相仿;肝脏稍低密度结节,考虑转移瘤,较前明显增大(大者4.4×3.7cm)。2021-05-08行“肝脏肿物穿刺活检”,病理结果:(肝肿物)符合转移性乳腺浸润性导管癌(组织学Ⅱ级)。免疫组化结果:ER(90%,3+),PR(85%,3+),HER2(1+),Ki-67(40%+)。
 
 
二线治疗:
 
考虑患者既往辅助内分泌治疗敏感,一线内分泌治疗获益时间长,二线继续CDK4/6联合内分泌治疗,故2021-05-10起给予阿贝西利150mg po bid 联合阿那曲唑1mg po qd及戈舍瑞林3.6mg ih q4w,3月后疗效评估肝转移瘤较前稍缩小(SD),继续该方案治疗,至今PFS 6月,继续随访中。治疗期间Ⅰ-Ⅱ度骨髓抑制,对症治疗好转,无明显消化道反应,副反应较轻,可耐受。
 
 
 
No.2 诊疗思考
 
一、内分泌联合卵巢功能抑制带来的获益?
 
针对HR阳性年轻乳腺癌在术后辅助内分泌治疗的方案选择方面,SOFT研究8年的随访结果中发现,对于绝经前既往化疗亚组患者OFS+TAM和OFS+AI均优于TAM;8年DFS分别为76.7%、80.4%和71.4%;另外在SOFT和TEXT联合分析的9年随访结果再次证实了OFS+AI较OFS+TAM提高了总体人群的疾病预后[3]。与OFS+TAM相比,OFS+AI显示出DFS持续的改善;8年无病生存率分别为82.8%和86.8%(HR=0.77,95%CI:0.67~0.90,P=0.0006);绝对获益4%。并减少了远处复发,8年无远处复发率分别为89.7%和91.8%(HR=0.80,95%CI:0.65~0.96),绝对获益为2.1%。尤其是对于HER2-、风险高需要化疗的患者,OFS+AI较OFS+TAM获得了显著的临床获益,在SOFT和TEXT研究中,无病生存绝对获益分别为6.9%和9.2%;无远处复发间期绝对获益分别为5%和7%。CSCO指南、CBCS指南及OFS共识均推荐对于高危人群应选择OFS+AI的辅助内分泌方案[4-6]
 
中危的患者(如淋巴结1~3个,组织学2~3级,肿瘤>2cm,HER2无扩增)推荐联合OFS联合TAM。本案例中患者确诊年龄小于35岁,腋窝淋巴结为1个,组织学2级,肿块小于2cm,HER2为阴性,为一个中危复发风险的患者,因此推荐患者使用OFS联合TAM辅助内分泌治疗。
 
二、HR阳性的绝经前乳腺癌晚期一线化疗后的维持治疗策略选择?
 
本例患者为绝经前年轻女性,分子分型为luminal B型(HER2阴性)。术后FEC方案辅助化疗6周期后行戈舍瑞林联合他莫昔芬辅助内分泌治疗。患者于辅助内分泌治疗结束1年内出现双肺、胸膜和肝脏转移,经过肝脏穿刺证实分子分型仍为luminal B型(HER2阴性)。考虑患者继发性内分泌耐药(辅助内分泌治疗时间大于2年复发转移),晚期一线治疗选择TX化疗6周期,肺部、胸膜、肝脏转移灶最佳疗效评价为 SD。维持治疗调整治疗方案为氟维司群+戈舍瑞林,最佳疗效评价为 PR。该患者从一线维持治疗有36个月PFS获益。
 
2017年美国临床肿瘤学会(ASCO)年会报道的一项开放标签、多中心Ⅱ期FANCY研究[7],对于绝经后HR+/HER2(-)晚期乳腺癌患者接受一线化疗获得CR/PR/SD后,予以氟维司群维持治疗。FANCY研究结果显示:氟维司群一线维持治疗的中位PFS为16.1个月,从一线化疗开始计算的中位PFS为19.5个月。由FANCY研究可知,对于一线选择化疗的HR+/HER2(-)晚期乳腺癌患者,疾病未进展的情况下可予以内分泌维持治疗,而氟维司群是一项合理的选择。
 
该患者为绝经前HR+/HER2(-)晚期乳腺癌患者,继发性内分泌耐药,晚期一线选择TX方案化疗6周期疾病稳定。根据CSCO乳腺癌诊疗指南,绝经前HR+/HER2(-)晚期乳腺癌患者内分泌治疗可以采取有效的卵巢功能抑制手段后遵循绝经后患者内分泌治疗。该患者后续维持治疗在药物去势的同时联合氟维司群治疗获得36+个月PFS,得到了比FANCY研究更好的PFS结果。由此真实病例可得到以下提示:对于部分疾病进展迅速或原发性内分泌耐药的绝经前HR+/HER2(-)晚期乳腺癌患者,接受了一线化疗有效控制疾病后,在卵巢功能抑制的基础上给予内分泌维持治疗是一种合理选择,而氟维司群是可选药物之一,同时内分泌治疗药物的耐受性较好,相比化疗能够显著提高患者生活质量。
 
参考文献
 
[1] Goel S, Sharma R, Hamilton A, Beith J. LHRH agonists for adjuvant therapy of early breast cancer in premenopausal women. Cochrane Database Syst Rev. 2009, 7;(4):CD004562.
 
[2] 中国抗癌协会乳腺癌专业委员会. 中国早期乳腺癌卵巢功能抑制临床应用专家共识(2018年版),中国癌症杂志, 2018, 28(11): 871-880。
 
[3] Pagani O,Francis PA,Fleming GF, et al. Absolute Improvements in Freedom From Distant Recurrence to Tailor Adjuvant Endocrine Therapies for Premenopausal Women: Results From TEXT and SOFT, J Clin Oncol.2019 ():JCO1801967.
 
[4] Lambertini M, Moore HCF, Leonard RCF, Gonadotropin-Releasing Hormone Agonists During Chemotherapy for Preservation of Ovarian Function and Fertility in Premenopausal Patients With Early Breast Cancer: A Systematic Review and Meta-Analysis of Individual Patient-Level Data. J Clin Oncol. 2018, 36(19):1981-1990. 
 
[5] Lambertini M, Boni L, Michelotti A et al. Ovarian Suppression With Triptorelin During Adjuvant Breast Cancer Chemotherapy and Long-term Ovarian Function, Pregnancies, and Disease-Free Survival: A Randomized Clinical Trial. JAMA. 2015,314(24):2632-40. 
 
[6] Moore HC, Unger JM, Phillips KA, et al. Goserelin for ovarian protection during breast-cancer adjuvant chemotherapy. N Engl J Med. 2015, 372(10):923-32.
 
[7] Wang S, Zheng Q, Xu F, et al. Fulvestrant as maintenance therapy after first-line chemotherapy in patients with hormone receptor-positive, HER2-negative advanced breast cancer (FANCY), a prospective, multicenter, single arm phase 2 study. ASCO 2017. Abr 1066.
 
专家简介
 
 
赵兵
 
新疆医科大学附属肿瘤医院 乳腺内科主任,主任医师,副教授,肿瘤学博士,硕士研究生导师
 
中国临床肿瘤学会(CSCO)患者教育专家委员会委员
 
中国医药教育协会胸部肿瘤专委会免疫分会委员
 
中国研究型医院学会分子诊断医学专业委员会委员
 
中国抗癌协会肿瘤营养专业委员会免疫营养学组委员
 
北京肿瘤防治研究会转化医学分委会常委
 
新疆抗癌学会康复与姑息治疗专委会候任主任
 
新疆抗癌学会肿瘤精准治疗专业委员会委员
 
新疆抗癌学会化疗及分子靶向治疗专业委员会委员

本内容仅供医学专业人士参考


卵巢功能抑制

分享到: 更多