当前位置:肿瘤瞭望>百家>病例>正文

例例在望丨无靶向可用≠无路可走:驱动基因阴性晚期肺腺癌患者生存超5年的真实世界案例

作者:肿瘤瞭望   日期:2025/3/13 15:44:50  浏览量:9904

肿瘤瞭望版权所有,谢绝任何形式转载,侵犯版权者必予法律追究。

非小细胞肺癌(non-small-cell lung cancer,NSCLC)是肺癌中最常见的病理类型,约占肺癌总数的80%-85%[1],其中约66%的患者在确诊时已处于晚期。由于肿瘤进展快和侵袭性强的特点,晚期NSCLC患者的预后较差。肺癌靶向治疗的问世改善了驱动基因阳性晚期NSCLC患者的预后[2],但其对于驱动基因阴性NSCLC患者的获益有限,化疗目前依旧是最有效的治疗手段之一,但采用传统化疗方案的患者中位总生存期(overall survival,OS)大约只有11至12个月[3]。自2011年免疫治疗问世以来,以程序性死亡受体-1(programmed death-1,PD-1)/程序性死亡受体配体-1(programmed death ligand-1,PD-L1)为靶点的免疫检查点抑制剂(immune checkpoint inhibitors,ICIs)在驱动基因阴性NSCLC的治疗中取得了突破性的进展[4],免疫单药、免疫联合化疗和双免疫联合用药临床试验取得的可观疗效,极大改变了驱动基因阴性NSCLC的治疗模式,为患者带来了生存获益。

陆多,马锐丨辽宁省肿瘤医院胸内二科
 
非小细胞肺癌(non-small-cell lung cancer,NSCLC)是肺癌中最常见的病理类型,约占肺癌总数的80%-85%[1],其中约66%的患者在确诊时已处于晚期。由于肿瘤进展快和侵袭性强的特点,晚期NSCLC患者的预后较差。肺癌靶向治疗的问世改善了驱动基因阳性晚期NSCLC患者的预后[2],但其对于驱动基因阴性NSCLC患者的获益有限,化疗目前依旧是最有效的治疗手段之一,但采用传统化疗方案的患者中位总生存期(overall survival,OS)大约只有11至12个月[3]。自2011年免疫治疗问世以来,以程序性死亡受体-1(programmed death-1,PD-1)/程序性死亡受体配体-1(programmed death ligand-1,PD-L1)为靶点的免疫检查点抑制剂(immune checkpoint inhibitors,ICIs)在驱动基因阴性NSCLC的治疗中取得了突破性的进展[4],免疫单药、免疫联合化疗和双免疫联合用药临床试验取得的可观疗效,极大改变了驱动基因阴性NSCLC的治疗模式,为患者带来了生存获益。
 
本文报道2例驱动基因阴性的晚期肺腺癌患者长生存病例,以探索驱动基因阴性患者预后良好因素及最佳治疗方案。
 
马锐
辽宁省肿瘤医院胸内二科主任,肿瘤学博士,中国医科大学、大连医科大学硕士研究生导师。
学术兼职:中国临床肿瘤学会理事会理事,中国老年学学会老年肿瘤专业委员执行委员,中国老年学学会老年肿瘤专业委员肺癌分委会常务委员,中国医药教育协会肺部肿瘤专委会常务委员,辽宁省生命科学学会常务理事,中国抗癌协会肺癌专业委员会委员,辽宁省抗癌协会理事会理事,辽宁省生命科学学会肺癌专业委员会主任委员,辽宁省抗癌协会肿瘤转移专业委员会主任委员,辽宁省抗癌协会肿瘤标志物专业委员会副主任委员,辽宁省医学会内科学分会委员会常务委员,辽宁省生命科学学会老年肿瘤专业委员会常务委员,沈阳市医学会肺部肿瘤学分会副主委,中国肿瘤生物治疗杂志、中国实用内科、医学与哲学,沈阳医学院学报等多家杂志编委及审稿专家。沈阳市领军人才。
主持省部级、市级课题9项,获辽宁省科技进步三等奖2项、沈阳市科技进步二等奖1项,第一及通讯作者发表论文50余篇。
 
陆多
辽宁省肿瘤医院胸内二科主治医师,肿瘤学硕士
学术兼职:辽宁省生命科学学会肺癌专业委员会委员兼秘书,辽宁省生命科学学会肺癌专业青年委员会委员兼秘书,辽宁省细胞生物学学会肺癌诊断与微创综合治疗专业委员会委员
 
病例介绍1

1.1病例资料
 
患者女性,39岁,2017年7月以“咳嗽伴胸痛1个月”为主诉就诊,行肺CT检查示右侧肺门及右肺下叶占位,门诊以“右肺占位”收治入院。入院查体:发育正常,营养中等,ECOG评分1分,NRS评分0分,双侧胸廓对称,双肺查体基本正常。患者否认肝炎、结核等传染病史,否认高血压、糖尿病史,否认外伤、手术史,否认输血史,食物、药物过敏史,否认家族性遗传病史,无吸烟、饮酒史。
 
1.2影像学检查(图1)
 
肺+全腹CT:右肺下叶占位、伴纵隔多发淋巴结肿大,恶性可能性大;右侧心膈角结节,左侧胸廓入口淋巴结增大。
 
脑MRI:左侧顶叶及右侧小脑结节,转移可能性大。
 
骨ECT:正常骨相(定期复查)。
 
图1:上两图分别展示基线肺CT肺窗及纵隔窗影像,下三图表示脑MRI影像。红色箭头指示病灶位置,分别为右肺肿物、右侧肺门转移病灶、左侧顶叶病灶、右侧小脑病灶及冠状面上的颅内两个病灶。
 
1.3病理学检查
 
经皮右肺下叶病灶穿刺活检,病理回报:腺癌(中分化)。免疫组化结果:CK7(+);CK8/18(+);CK5/6(-),KI-67(50%+);TP53(+);P40(+);TTF-1部分细胞(+)。行63基因NGS检测结果回报:EGFR,KRAS,RET,ALK,ERBB2(HER2),BRAF,MET,ROS1均为野生型,TP53 p.E286K突变频率0.29%,TP53剪接位点突变0.06%,TP53 p.C176S突变频率0.12%,TP53 p.Q165X突变频率0.13%,APC p.S290G突变频率46.07%,TP53 p.S240R突变频率0.23%。
 
结合病理及影像学检查最终诊断:右肺下叶恶性肿瘤(腺癌,cT4N2M1 IV期驱动基因阴性,PD-L1(SP263≥50%)伴右侧肺门转移,脑转移。
 
1.4治疗经过
 
患者符合我科正在开展的“一项比较Durvalumab治疗与标准治疗(含铂化疗)用于PD-L1高表达晚期非小细胞肺癌患者一线治疗的III期随机、开放、多中心研究”的入组要求,经知情同意进入该试验,经随机进入化疗组,于2017年7月至2023年12月应用培美曲塞联合卡铂治疗6周期,后行培美曲塞单药维持治疗105周期,肺内CT现实右肺下叶病灶缩小90%,颅内病灶缩小100%,最佳疗效肺内病灶PR及颅内病灶达CR(图2),于2023年2月复查CT,肺内病灶逐渐增大,至2024年1月,疾病进展出组该临床试验,一线无进展生存为78个月。
 
图2:上两图分别展示2021年5月患者达到最佳疗效时肺CT肺窗及纵隔窗肺内病灶及肺门淋巴结影像,下三图表示最佳疗效时脑MRI影像
 
患者进入到二线治疗,该患者再次符合我科“优替德隆对照多西他赛治疗含铂化疗失败的局部晚期或转移性非小细胞肺癌的III期、开放、随机对照临床试验”经随机进入多西他赛组,截止至目前患者已行多西他赛治疗19周期,期间评效为SD(图3),二线无进展生存至今为14个月,患者总生存期截止目前超过92个月(整体治疗过程如图4所示)。
 
图3:上两图分别展示2024年1月患者一线进展时肺CT肺窗及纵隔窗肺内病灶影像,下两图表示2024年12月患者二线治疗间期评效时肺CT肺窗及纵隔窗肺内病灶影像
 
图4:第一例患者治疗时间轴
 
病例介绍2

2.1病例资料
 
患者女性,46岁,2018年12月以“触及颈部包块1个月”为主诉入院,行肺CT提示右肺中叶占位,于外院行PET-CT:右肺中叶不规则密度增高影伴临近透光区及条索影,考虑恶性,伴右侧颈部锁骨上纵隔内及右肺门淋巴结影,代谢增高。门诊以右肺中叶占位收入院。入院查体:发育正常,营养良好,ECOG评分1分,NRS评分0分,双侧胸廓对称,右侧锁骨上可触及馋豆大淋巴结,双肺查体基本正常。患者否认肝炎、结核等传染病史,否认高血压、糖尿病史,否认外伤、手术史,否认输血史,食物、药物过敏史,否认家族性遗传病史,无吸烟、饮酒史。
 
2.2影像学检查(图5)
 
肺+全腹CT增强:右肺中叶肿块,考虑恶性,双肺胸膜下炎症,双侧胸膜局限性增厚,右侧锁骨上淋巴结增大,纵隔淋巴结稍大;
 
颈部CT增强:右侧锁骨上及右颈部、纵隔多发淋巴结肿大。
 
脑MRI增强:头MR平扫+增强未见确切异常。
 
骨ECT:正常骨相(定期复查)。
 
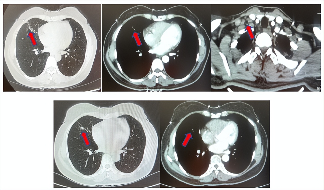
图5:上两图分别展示基线时肺CT肺窗及纵隔窗右肺中叶病灶影像,下两图表示基线状态时纵隔淋巴结及锁骨上淋巴结影像。
 
2.3病理学检查
 
右侧颈部淋巴结局部切除活检回报:(右颈部淋巴结):转移性癌,免疫组化提示肺腺癌来源。具体免疫组化为:CK(+),CK7(+),CK20(-),TTF(+),P63(-),CK5/6(-),Syn(-),CgA(-),Ki-67约60%(+)。
 
行院外华生基因的外显子靶向捕获测序,结果回报:EGFR,KRAS,RET,ALK,ERBB2(HER2),BRAF,MET,ROS1均为野生型,ERBB3 p.G284R突变丰度44.44%,FAT1 p.K2692N突变丰度21.8%,TP53 p.p278T突变丰度22.94%,TP53 p.R213G突变丰度20.06%。PD-L1<1%。
 
结合病理及影像学检查最终诊断:右肺中叶恶性肿瘤(腺癌,cT1N3M0 IIIB期驱动基因阴性)伴右侧肺门转移,纵隔淋巴结转移,锁骨上淋巴结及颈部淋巴结转移。
 
2.4治疗经过
 
患者符合我科正在开展的一项“评估信迪利单抗或安慰剂联合培美曲塞和铂类化疗用于晚期或复发性肺鳞状细胞非小细胞肺癌一线治疗有效性和安全性的随机,双盲,III期研究(ORIENT-11)”临床研究入组条件,应用信迪利单抗或安慰剂联合培美曲塞+卡铂治疗4周期,信迪利单抗或安慰剂联合培美曲塞维持治疗13周期,后应用信迪利单抗或安慰剂应用至2年。试验结束后出组,揭盲患者为信迪利治疗组。治疗期间最佳疗效肺内病灶近CR(图6)。停药后每3个月-6个月复查随访,未见肿瘤复发转移征象(图6),截止至目前为止,一线无进展生存已超过75个月。
 
图6:上三图分别展示2019年6月患者达到最佳疗效时肺CT肺窗及纵隔窗右肺中叶病灶及锁骨上淋巴结影像,下两图表示2025年2月患者最近复查评效时肺CT肺窗及纵隔窗肺内病灶影像
 
图7:第二例患者治疗时间轴
 
讨论
 
曾经对于NSCLC的预后是大多数是基于肿瘤直径、淋巴结侵犯以及有无远处转移来笼统判断的[5]。随着医学的发展及研究的逐渐深入,发现临床分期相同的患者在治疗效果和预后上存在较大差异,进而得出NSCLC是一种受多因素影响的异质性疾病,与肿瘤自身生物学特性有关。许多研究发现种族、年龄、性别、是否吸烟、体重指数(Body mass index,BMI)以及体力状况(Performance status,PS)评分、基因突变状态、是否手术、炎症、营养状况及肿瘤标志物[6]等均与NSCLC预后相关。本次讨论的两名长生存的患者存在共性因素包括年龄轻,不吸烟,体能状态好,无驱动基因突变但伴有TP53突变,第一例患者为PD-L1高表达,第二例患者为PD-L1<1%表达,下面尝试探讨PD-L1及TP53突变对患者预后的影响。
 
程序性死亡配体1(Programmed death-ligand 1,PD-L1)是一种位于细胞表面的蛋白质,广泛存在于各种细胞类型中,包括免疫细胞和某些类型的肿瘤细胞。PD-L1通过与程序性死亡受体1(Programmed death,PD-1)结合,抑制T细胞的活化和增殖,从而抑制免疫反应[7]。虽然PD-L1表达水平存在检测方法不一致,判读标准不一致以及肿瘤抑制性影响等多方面问题,但其表达水平仍然是目前唯一被批准的用于选择免疫治疗患者的伴随诊断生物标志物。PD-L1表达与预后的相关性研究提示PD-L1阳性更多见于TNM分期较高的患者,其通过结合T细胞表面PD-1受体抑制免疫活性,促进肿瘤免疫逃逸。在未接受免疫治疗的情况下,PD-L1阴性患者的总体生存率可能更长,这可能与肿瘤微环境中的免疫抑制程度较低有关。
 
TP53(tumor suppressor gene TP53)是重要的肿瘤抑制基因之一,在半数以上的肿瘤组织中均发现TP53基因突变,其主要功能是通过调节靶基因的表达,使相应的修复机制能够修复受损或有缺陷的DNA,从而修复受损细胞。有研究表明,TP53蛋白与人类的肿瘤发育密切相关[8]。然而,最近的研究表明,TP53基因的突变紊乱会导致正常细胞发生恶性转化,从而引发癌症,其中以鳞状细胞肺癌和有吸烟史的患者居多,其在肺腺癌的突变率为26.9%[9],与野生型TP53非小细胞肺癌患者相比,TP53突变型接受治疗的疗效更差,其可能介导非小细胞肺癌靶向疗法耐药性的产生[10,11]。此外,国外研究还发现,TP53突变的晚期非小细胞肺癌患者的生存率明显低于TP53未突变的患者,这表明TP53突变可能与晚期非小细胞肺癌患者的不良预后密切相关[12]。针对TP53突变,尚未有明确的靶向药物,目前治疗原则应按照驱动基因阴性治疗标准进行选择。国内一些小样本的试验采用信迪利单抗和含铂双药化疗治疗TP53基因突变非小细胞肺癌的疗效可靠,能够改善患者的免疫功能水平,降低肿瘤标志物水平,延缓肿瘤发展,且不会增加更多的不良反应,可能给该类患者带来生存获益。
 
因此,对于驱动基因阴性患者需要要检测PD-L1状态,并结合明确的疾病分期,以及临床特征等选择合适的治疗策略才能为患者打开长生存之门。未来AI参与临床决策也许对个体化治疗更有帮助。
 
参考文献
 
1.Bade B C,Dela Cruz C S.Lung Cancer 2020:Epidemiology,Etiology,and Prevention[J].Clinics in Chest Medicine,2020;41(1):1-24.
 
2.CAI R,ZHU,LIU Y,et al.To be,or not to be:the dilemma of immunotherapy for non-small cell lung cancer harboring various driver mutations[J].J Cancer Res Clin Oncol,2023,149(12):10027-10040.
 
3.Miller M,Hanna N.Advances in systemic therapy for non-small cell lung cancer[J].BMJ,2021;375:n2363.
 
4.Osmani L,Askin F,et al.Current WHO guidelines and the critical role of immunohistochemical markers in the subclassification of non-small cell lung carcinoma(NSCLC):Moving from targeted therapy to immunotherapy[J].Seminars in Cancer Biology,2018;52(Pt 1):103-109.
 
5.Detterbeck F C,Boffa D J,et al.The Eighth Edition Lung Cancer Stage Classification[J].Chest,2017;151(1):193-203.
 
6.Prelaj A,Rebuzzi S E,et al.EPSILoN:A Prognostic Score Using Clinical and Blood Biomarkers in Advanced Non-Small-cell Lung Cancer Treated With Immunotherapy[J].Clinical lung cancer,2020;21(4):365-77.e5.
 
7.Ramos-Casals M,Brahemer JR,et al.Immune-related adverse events of checkpoint inhibitors[J].Nat Rev Dis Primers,2020;6(1):38.
 
8.Li Y,Sun C,Tan Y,et al.itgb1 enhances the radioresistance of human non-small cell lung cancer cells by modulating the dna damage response and yap1-induced epithelialmesenchymal transition[J].Int J Biol Sci,2021;17(2):635-650.
 
9.Sholl LM.The Moleclae Parhology of Lung Cancer.Surg Pathol Clin〔J〕.2016;9(3):353-378.
 
10.Asada H,Tomiyasu H,et al.Effect of a two-base insertion mutation of the tp53 gene on expression of p53 protein in canine histiocytic sarcoma cells[J].Am J Vet Res,2019;80(7):680-688.
 
11.Tian X,Ahsan N,Lulla A,et al.P53-independent partial restoration of the p53 pathway in tumors with mutated p53 through atf4 transcriptional modulation by erk1/2 and cdk9[J].Neoplasia,2021;23(3):304-325.
 
12.Hou J,Cao X,Cheng Y,et al.Roles of tp53 gene in the development of resistance to pi3k inhibitor resistances in crispr-cas9-edited lung adenocarcinoma cells[J].Cell Biol Toxicol,2020;36(5):481-492.

本内容仅供医学专业人士参考


肺腺癌

分享到: 更多