当前位置:肿瘤瞭望>资讯>研究>正文

一例HER2晚期胃癌肝转移病例的介入联合靶向治疗过程丨抗HER之路 与妮携行

作者:肿瘤瞭望   日期:2021/10/9 10:31:51  浏览量:17515

肿瘤瞭望版权所有,谢绝任何形式转载,侵犯版权者必予法律追究。

本期报告了一例初诊HER2阳性Ⅳ期胃癌患者,经多次讨论后先后进行3次介入治疗,并联合吡咯替尼进行靶向治疗,治疗后患者肝转移灶显著缩小,且患者目前总生存达10个月。该病例为吡咯替尼治疗HER2阳性胃癌提供依据,说明介入联合靶向治疗的临床应用价值。

 
▌病例报告:卫生生医生 泽州县人民医院
 
▌病例指导:晋江涛教授 泽州县人民医院
 
本期报告了一例初诊HER2阳性Ⅳ期胃癌患者,经多次讨论后先后进行3次介入治疗,并联合吡咯替尼进行靶向治疗,治疗后患者肝转移灶显著缩小,且患者目前总生存达10个月。该病例为吡咯替尼治疗HER2阳性胃癌提供依据,说明介入联合靶向治疗的临床应用价值。
 
病例报告
 
▌病例摘要
 
患者男性,60岁,主诉:间断黑便一周。
 
现病史:
 
患者于2020年11月3日无明显诱因出现黑便,伴胃部不适、憋胀,食欲减低,腰部酸困,不伴恶心、呕吐、进食哽咽等症状,电子胃镜检查(2020年11月6日)显示:食管、贲门癌,病理结果显示:中分化腺癌。既往史:高血压病5年余。
 
查体:
 
神志清,精神可;上腹部压痛阳性,无反跳痛及肌紧张;肝大,肝下界位于肋下3横指,脾肋下未触及肿大,叩诊呈鼓音,移动性浊音阴性,肝区轻度叩击痛,肠鸣音3次/分。
 
辅助检查:
 
血细胞分析:白细胞12.13×10^9/L,红细胞计数3.37×10^12/L,血红蛋白测定104.00g/L,血小板计数329.00×10^9/L。
 
肿瘤标志:癌胚抗原3574.3 ng/ml,CA12-5 650 U/ml,CA19-9 1212 U/ml,CA15-3 333 U/ml。
 
肝肾功能:基本正常。
 
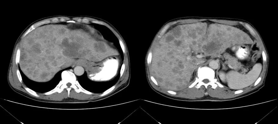
腹部CT检查(2020年11月10日):贲门胃底占位,肝内多发转移灶,腹主动脉旁多发淋巴结肿大,见图1。
 
 
图1
 
诊断:
 
胃癌IV期,肝转移,淋巴结转移。
 
▌阶段-1:
 
讨论目的:患者活检及影像学诊断为胃癌IV期,①患者肝内存在多发病灶,是否行穿刺活检?②患者药物系统治疗方案?
 
讨论:患者胃癌IV期伴肝脏多发转移病灶,首先考虑肝转移。结合患者个体情况,年龄60岁,一般状况好(ECOG:0分),患者家属治疗意愿积极,为了尽量减少患者痛苦,延长生存期,决定给予动脉化疗灌注栓塞术。进一步完善免疫组化及基因检测寻求靶向治疗或免疫治疗。
 
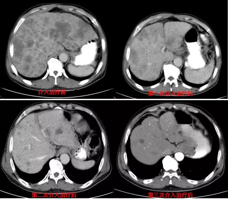
诊治经过:2020年11月25日患者行经皮动脉化疗灌注栓塞术(铂类+氟尿嘧啶);2020年11月30日免疫组化及基因检测结果为:ERBB-2扩增(9倍),VEGFR未突变,MSI微卫星低度不稳定,错配修复蛋白部分缺失(dMMR),MSH2(+弱),MLH1(-),MSH6(+),PMS2(-),CDX2(-),Villin(+),CK8/18(+),Ki67(5%+),CD56(-),Syn(-),CgA(-);患者为HER2阳性,患者肝脏病灶很多,残余正常肝脏体积小,需要寻找对肝功能影响小且抗瘤效果明显的治疗,因此联合吡咯替尼进行系统治疗。2020年12月14日复查结果提示肝脏病灶明显缩小(PR)。结果见图2。
 
 
图2
 
▌阶段-2:
 
讨论目的:①是否继续当前介入联合靶向治疗?②患者能否进行外科手术治疗,是否加用免疫治疗?
 
讨论:2020年12月14日患者复查示原发灶稳定,肝转移灶明显缩小,达到PR。患者一般状况好(ECOG:0分),治疗疗效显著,转移病灶多发且MSI微卫星不稳定为低度不稳定,因此不建议行外科手术及免疫治疗,继续行当前介入联合靶向治疗。
 
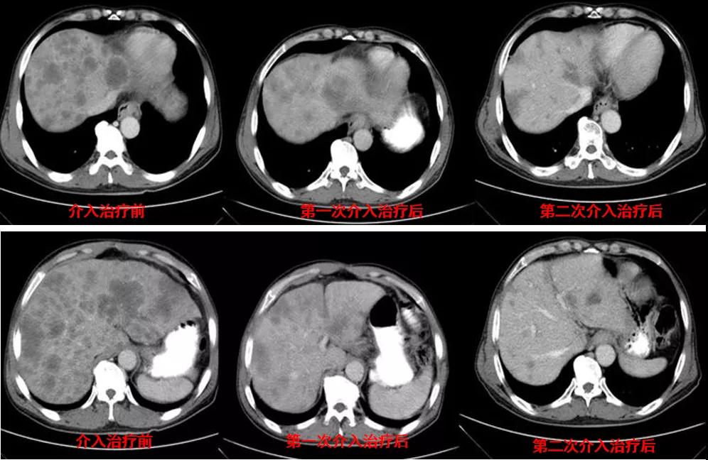
诊治经过:2020年12月16日患者行第二次经皮动脉化疗灌注栓塞术(铂类+氟尿嘧啶)治疗,并继续联合吡咯替尼治疗。结果见图3。
 
 
图3
 
▌阶段-3:
 
讨论目的:第二次介入治疗后,患者肝转移病灶明显减少,针对少量肝转移病灶是否行射频消融治疗。
 
讨论:患者病灶进一步减小,病情控制好,治疗疗效显著且肝转移病灶大于3个,因此不建议行射频消融治疗,建议继续行介入联合靶向治疗。
 
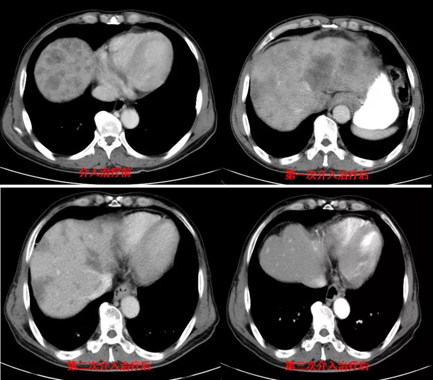
诊治经过:2021年5月16日患者行第三次经皮动脉化疗灌注栓塞术(铂类+氟尿嘧啶)治疗,并继续联合吡咯替尼治疗。结果见图4。
 
 
 
图4
 
总结:本例患者为胃癌IV期,伴肝转移及淋巴结转移,经介入联合吡咯替尼治疗后,肝转移灶显著缩小。治疗前肿瘤标志为:癌胚抗原3574.3ng/ml、CA12-5 650U/ml、CA19-9 1212U/ml、CA15-3 333U/ml;治疗后肿瘤标志为:癌胚抗原7.6ng/ml、CA12-5 12.8U/ml、CA19-9 17.4U/ml、CA15-3 6.7U/ml。治疗后,肿瘤标志物显著降低,且腹部CT结果显示该患者肝转移病灶较治疗前明显减少。患者目前带瘤总生存达10个月,病情稳定。
 
病例报告作者
 
 
卫生生
 
山西省泽州县人民医院介入科
 
白求恩精神研究会所介入医学分会理事
 
晋城市肿瘤医学分会委员
 
晋城市介入医学分会委员
 
病例点评
 
目前,胃癌是全球第五大恶性肿瘤,也是全球第二大癌症相关死亡原因。随着对胃癌的进一步认识,发现表皮生长因子受体2(HER2)阳性的胃癌患者预后更差,HER2异质性是其不良预后因素。我国的胃癌患者占全球胃癌患者的44.1%,HER2阳性率为8.8%。目前的研究表明,不同胃癌类型及部位的HER2阳性率不同;同一个患者的肿瘤内,HER2表达不同。根据ToGA试验,HER2表达的总体阳性率为22.1%,其中肠型胃癌和胃食管交界处癌的阳性率最高(分别为31.8%和32.2%),弥漫型且位于远端的肿瘤阳性率较低(6.1%和21.4%)。本例患者即是胃食管交界处癌且HER2阳性的晚期胃癌伴肝转移的晚期患者,肝转移病灶多,残余正常肝组织较少。因此,本例患者常规治疗预后差。
 
2019年,中国胃肠外科专家组根据胃癌肝转移患者转移灶的特点,将不可切除型分为Ⅲa型和Ⅲb型。Ⅲa型为弥漫性肝转移灶,不伴肝外转移,推荐其治疗采用以肝转移灶局部治疗为主的综合治疗,Ⅲb型指肝转移同时合并一个或多个肝外器官转移,伴或不伴腹膜转移,推荐其治疗采用以系统治疗为主的综合治疗。本例患者即符合Ⅲa型,因此我们采用了经皮动脉化疗栓塞术的局部治疗为主,加以全身靶向治疗的综合治疗。
 
在靶向治疗的选择上,我们考虑到吡咯替尼通过与细胞内EGFR和HER2的激酶区的ATP结合位点共价结合,阻止肿瘤细胞内EGFR和HER2的同质和异质二聚体形成,抑制其自身的磷酸化,阻断下游信号通路的激活,从而抑制肿瘤细胞生长。且其副作用较曲妥珠单抗小。吡咯替尼作为国产原研创新药,临床疗效、安全性等得到了国内专家的普遍认可。最后我们选择了吡咯替尼作为靶向治疗。本例患者治疗结果也证明该患者从吡咯替尼的治疗中持续获益。
 
病例点评专家
 
 
晋江涛
 
医学博士,副主任医师,硕士研究生导师
 
现任泽州县人民医院副院长,介入科主任
 
中国医药教育协会介入微创专业技术青年委员会常委
 
中国医师协会介入专业委员会委员
 
山西省医师协会介入医师分会血管专业委员会常委
 
山西省抗癌协会肿瘤介入专业委员会委员
 
中国研究型医院学会非血管介入学组青年委员
 
河南省呼吸与重症学会介入学分会特邀委员
 
注:吡咯替尼(艾瑞妮®)目前在我国上市适应症为晚期乳腺癌领域,本疑难病例旨在促进医学专业人员的学习交流。

本内容仅供医学专业人士参考


HER2晚期胃癌肝转移

分享到: 更多