当前位置:肿瘤瞭望>资讯>正文

陈洁教授:胰腺神经内分泌瘤肝转移综合治疗策略

作者:肿瘤瞭望   日期:2022/9/20 18:02:36  浏览量:17212

肿瘤瞭望版权所有,谢绝任何形式转载,侵犯版权者必予法律追究。

临床中,有大约70%的胰腺神经内分泌肿瘤(pNENs)发生肝转移,其中大约70%的肝转移患者为弥漫性肝转移,显著影响患者生存预后。

编者按:临床中,有大约70%的胰腺神经内分泌肿瘤(pNENs)发生肝转移,其中大约70%的肝转移患者为弥漫性肝转移,显著影响患者生存预后。然而,目前国内外指南并未针对pNENs肝转移治疗形成明确的、标准的治疗意见。在近日举行的第十四届中国抗癌协会胰腺癌专业委员会年会(PCCA 2022)上,复旦大学附属肿瘤医院陈洁教授带来了“胰腺神经内分泌肿瘤肝转移综合治疗策略”的精彩报告,分享了近年来的循证医学证据,以及其对此类患者诊治的临床经验和研究探索。
 
 
胰腺神经内分泌瘤(pNENs)是起源于胰腺神经内分泌细胞的一类复杂的异质性肿瘤,按临床症状可分为功能性(约占30%~40%)和非功能性,按流行病学特征可分为散发性和遗传性,按组织学特征可分为G1/G2/G3神经内分泌肿瘤(NET)和神经内分泌癌(NEC)。
 
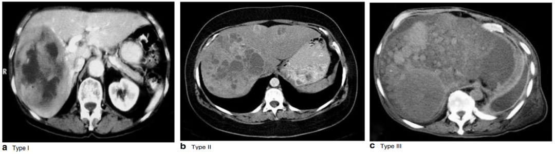
临床中,高达32%~77%的pNENs患者诊断时发生肝转移,肝转移往往是肿瘤进展最快的转移部位,为pNENs最重要的独立预后因素。A.Frilling等人将NENs肝转移分为3型:
  • 简单型(Ⅰ型):转移瘤局限于一叶或相邻两段,可行标准的解剖性切除,约占20%~25%。
  • 复杂型(Ⅱ型):一叶为主,伴周围较小的、散在分布的卫星灶,但仍可外科处理,约占10%~15%。
  • 弥漫型(Ⅲ型):为两叶弥漫分布的转移瘤,通常无法手术干预,约占60%~70%。
 
△A.Frilling等提出的神经内分泌瘤肝转移分型
 
(G1/G2)pNET主要有四种不同的Ⅲ型肝转移表现:①富血供,边界清,中等大小;②富血供,边界不清,呈“满天星”分布;③富血供,边界清,大团块状;④乏血供,边界不清,呈“满天星”分布。
 
陈洁教授指出,临床中相当部分pNENs肝转移为弥漫型,患者预后较差。对于这类患者的诊治较为棘手,近年来的国内外临床实践和研究探索发生了一些新变化。
 
肝转移肿瘤负荷显著影响药物治疗的生存获益
 
从2016年的ENETS指南和2018年的NCCN指南来看,对于转移性NET患者,主要建议先进行药物治疗或观察,药物治疗无效后才考虑局部治疗。然而,分析NET的一些经典药物临床研究我们发现肝转移负荷会很大程度上影响药物疗效。
 
在SSAs抗肿瘤生长的经典临床研究CLARINET中(Martyn E Caplin,et al.Endocrine,2021),肝转移负荷>25%相较于≤25%的患者,PFS缩短一半(24.1 vs 50.8个月)。来自NET CONECT Network的回顾性研究(Elettra Merola,et al.Oncologist,2021)显示,SSAs用于Ki-67>10%的患者中,肝转移负荷≥25%的患者PFS同样比<25%的患者更差(9.7 vs 15.0个月)。旨在建立SSA治疗预测模型的GETNE-TRASGU研究(Alberto Carmona-Bayonas,et al.J Clin Oncol,2019)发现,肝转移负荷大于50%是与SSA治疗PFS负相关的因素,而肝转移负荷小于25%是与SSA治疗PFS正相关的因素。来自法国的FOLFOX治疗进展期消化道分化良好NETs的回顾性研究(Paul Girot,et al.Neuroendocrinology,2022)发现,肝转移负荷大于50%是PFS不佳的预测因素。
 
上述研究表明,肝转移肿瘤负荷可显著影响药物治疗的生存获益,肿瘤负荷较高的pNENs患者药物治疗预后更差,可能需要对传统“先全身再局部治疗”的策略进行调整。
 
能否通过早期减瘤治疗改善药物治疗的生存获益?
 
2016版ENETS指南给出了NET肝转移的治疗框架:全身治疗包括药物、PRRT等;局部治疗包括手术(切除、肝移植等)、介入治疗(射频消融、TAE/TACE等)。但缺乏高质量的循证医学证据来回答全身治疗或局部治疗的方式和时机选择等问题。如何科学合理地使用全身治疗、局部治疗?缺乏高质量的循证医学证据,指南中仅仅笼统地建议基于专家经验进行个体化处理。
 
在外科治疗方面:(1)早前的NET肝转移手术治疗目标是要追求R0/R1切除,或减瘤≥90%,确保原发灶可切除(或已切除),但这样的目标是否过于苛刻?接近R0切除、减瘤效果显著(比如>70%)但达不到≥90%、原发灶较小而未切除的患者是否对后续药物治疗也有利?(2)肝移植的米兰标准要求包括肝内肿瘤负荷<50%等,但肿瘤负荷小的肝转移完全有可能通过合理的药物联合局部治疗获得较长期的疾病控制;ENETS肝移植的最低要求包括无肝外病灶等,但对一些弥漫肝转移肝功能开始衰竭而肝外可能只有一两个小转移病灶的特别是年轻患者,这个标准又是否合理?
 
病例1,为胰头NET G2,弥漫性肝转移,黄疸严重,无法通过引流或改道手术缓解。患者接受了肝胰十二指肠联合移植,术后给予抗排异和SSA治疗,目前已经生存近3年,肝外转移疾病稳定。
 
△病例1的术前MRI检查
 
这是一例挑战指南的肝移植病例,联合器官移植解决了患者迫在眉睫的肝功能衰竭问题,术后通过药物治疗肝外的散在转移病灶,达到了让患者生存获益的目的。
 
神经内分泌肿瘤肝转移的局部和全身治疗探索
 
鉴于指南意见和循证医学证据的缺乏,陈洁教授及其团队提出了以下思考:(1)在全身治疗中,需考虑肿瘤部位、功能性、分级分类、分期、生长速度、血供/代谢/生长抑素受体表达、药物毒性和患者基础疾病、有无预测疗效的标志物、药物可及性等;(2)在局部减瘤治疗中,哪些患者适合手术、消融、介入或联合,介入选择TAE还是TACE、用什么栓塞剂以及多少次栓塞,局部治疗的时机,原发灶是否必须切除等问题。她进一步分享了临床病例的诊治经验。
 
病例2,胰头pNET G2,无功能性,肝脏弥漫性、囊性转移。第一阶段给予长效奥曲肽+TAE(4次)治疗,肝内病灶减瘤超过90%、胰头原发灶控制稳定;第二阶段性保留幽门胰十二指肠切除术,术后继续长效奥曲肽维持治疗,目前PFS已达32个月。该患者诊治经过表明,囊性转移病灶也适合TAE;而且灶优先处理肝转移灶减瘤后,可转化手术切除原发灶。
 
病例3,胰尾巨大pNET G2,肝脏多发转移,经过第一阶段长效奥曲肽+TAE,肝内残存散在的高糖代谢小病灶,第二阶段外科切除原发病灶,术后长效奥曲肽维持治疗获得了满意的疾病控制。
 
病例4,胰体pNET G2,肝内弥漫转移,但原发灶体积较小。患者经过3次TAE后达到肝内病灶减瘤,同时给予舒尼替尼治疗,目前PFS达15个月。该病例表明,原发灶较小、肿瘤负荷主要在肝脏的情况下,原发灶未必需要切除。
 
病例5,胰尾NET G1,肝内弥漫转移且边界不清,胰原性门脉高压导致食管胃底静脉曲张破裂出血。先给予胰体尾切除+脾切除+门体静脉断流,解决出血风险,继而予以长效奥曲肽+TAE治疗,但4次TAE后肝负荷减瘤效果不明显。该病例表明,应优先处理出血危及生命的原发灶;且并非所有Ⅲ型肝转移都适合TAE。
 
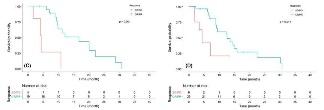
陈洁教授团队回顾研究了2016-2020年期间116例通过长效奥曲肽+TAE治疗的G1/G2 NET肝转移病例(Liu Y,et al.Cancer Med.2022),结果显示:该联合方案下的中位PFS为13.6个月,且肝转移负荷>50%、Ki-67>10%和骨转移是PFS的独立预后因素;TAE的ORR可达78.4%,而且肝转移负荷>25%、Ki-67≤10%、无骨转移、肝转移肿瘤边界清晰的患者TAE疗效更好;此外,肝转移负荷25%~50%(16.7 vs 4.3个月)、>50%(12.6 vs 4.4个月)的患者如果TAE达到CR/PR,则PFS较未达到CR/PR患者显著延长。
 
△TAE达到CR/PR的患者PFS显著延长(C.肝转移负荷25%~50%;D.肝转移负荷>50%)
 
陈洁教授总结Ⅱ/Ⅲ型肝转移瘤介入减瘤策略:
  • (1)主要适用于G1/G2 NET或类癌/非典型类癌;
  • (2)功能性肿瘤需尽快控制激素分泌,欧美指南均推荐在药物治疗基础上尽早做局部减瘤治疗;
  • (3)无功能性肿瘤如果肝转移负荷过大,患者生存期明显缩短,药物治疗疗效差,也建议尽早做局部减瘤治疗;
  • (4)选择TAE减瘤时,建议采用永久性固体栓塞剂(聚乙烯醇颗粒PVA和40-120微米Embosphere);
  • (5)肝脏肿瘤负荷30%~50%的患者影像学反应最佳,肿瘤负荷超过75%则需分次栓塞;
  • (6)肿瘤的大小、分布、血供、糖代谢可能与TAE疗效相关。
 
近年来的指南有所变化,2020版NCCN指南已经对肝转移外科治疗、消融、肝动脉栓塞的方式和指征等专门进行了阐释;2022年最新版的NCCN指南也指出,对于症状性、肿瘤负荷较高、显著进展性疾病患者,可以考虑将局部治疗提前治疗全身治疗之前。这些国际指南的变化与上述研究探索和临床实践经验是相符的。
 
陈洁
主任医师,教授博士研究生导师
复旦大学附属肿瘤医院神经内分泌肿瘤多学科首席专家
复旦大学附属肿瘤医院神经内分泌肿瘤中心主任
复旦大学附属肿瘤医院头颈及神经内分泌肿瘤内科主任
欧洲神经内分泌肿瘤学会(ENETS)顾问委员会委员
欧洲肿瘤内科学会(ESMO)神经内分泌及内分泌肿瘤学组委员
国际神经内分泌肿瘤联盟(INCA)医疗顾问委员会委员
中国抗癌协会神经内分泌肿瘤专业委员会主任委员(筹)
中国抗癌协会胰腺癌专业委员会神经内分泌肿瘤学组(CSNET)组长
中国抗癌协会肿瘤内分泌专业委员会副主任委员
中华医学会消化病学分会胃肠激素与神经内分泌肿瘤学组副组长
中国医师协会胰腺病分会胰腺神经内分泌肿瘤专委会副主任委员
中国医促会神经内分泌肿瘤分会常委
中国临床肿瘤学会(CSCO)罕见肿瘤专家委员会委员
ENETS官刊Journal of Neuroendocrinology高级编委
Journal of Pancreatology编委
中国癌症杂志编委
中华消化杂志通讯编委

本内容仅供医学专业人士参考


胰腺神经内分泌肿瘤

分享到: 更多